Recombinant Anti-Iba1 antibody (Mouse mAb), Primary Antibody

AO-03-GB15105-50

Recombinant Anti-Iba1 antibody (Mouse mAb)

Volume : 50 µL
check En Stock
Hurry! only 10 items left in stock.
299,00 €
HT
Quantité

Product Information

Protein full name

Allograft inflammatory factor 1

Synonyms

AIF-1, IBA, IRT-1, IRT1, allograft, AIF-1, AIF1, G1, IBA1, IRT 1, Protein G1, Ionized calcium-binding adapter molecule 1, MRF1, Microglia response factor, BART 1, AIF1 protein

Immunogen

Recombinant protein corresponding to Mouse Iba1

Uniprot ID

O70200

Isotype

lgG1

Purity

Affinity purification

Subcellular location

Cytoplasm, Cytoskeleton, Cell projection


Applications

IHC(PFA fixed)/IF(PFA fixed)

Human, Mouse, Rat

1: 500-1: 1000

liver cancer, tonsil, brain


Background

AIF1, also named as G1, IBA1 or daintain/AIF-1, is a 143 amino acid cytoplasmic, inflammation response scaffold protein. It is constitutively expressed in monocytes and macrophages and is known to be involved in macrophage activation. It is a marker of activated macrophage. Despite a lack of detailed knowledge on the in vivo physiological functions of AIF-1, there is growing evidence that shows its aberrant expression contributes to the pathogenesis of many autoimmune diseases, including rheumatoid arthritis.  AIF1 is an actin-binding protein that enhances membrane ruffling and RAC activation. It enhances lymphocyte migration and the actin-bundling activity of LCP1.


Images

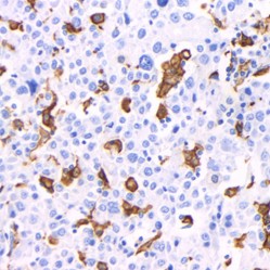
01 GB15105_20230522_IBA-1_H6120_H6120230413 H Liver cancer d1000_40.0x_IHC.jpg

IHC analysis of IBA-1 (GB15105).

Sample: Human liver cancer (Paraffin), 4% PFA (G1101) 12-24h.

Antigen retrieval: TE buffer (pH 9.0)(G1203), 98℃ 20 min.

Blocking buffer: 3% BSA in PBS (GC305010), RT, 30min.

Primary antibody: 1: 1000, 4℃ overnight.

Secondary antibody: HRP Goat Anti-Mouse lgG (GB23301), 1: 200 RT 1h.

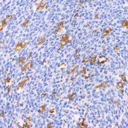
02 GB15105_20230522_IBA-1_H6120_H6120230413 H tonsil d1000_40.0x_IHC.jpg

IHC analysis of IBA-1 (GB15105).

Sample: Human tonsil (Paraffin), 4% PFA (G1101) 12-24h.

Antigen retrieval: TE buffer (pH 9.0)(G1203), 98℃ 20 min.

Blocking buffer: 3% BSA in PBS (GC305010), RT, 30min.

Primary antibody: 1: 1000, 4℃ overnight.

Secondary antibody: HRP Goat Anti-Mouse lgG (GB23301), 1: 200 RT 1h.

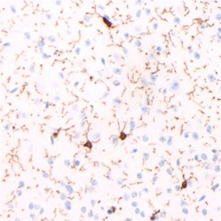
03 GB15105_20230522_IBA-1_H6120_H6120230413 M Brain  d1000_40.0x_IHC.jpg

IHC analysis of IBA-1 (GB15105).

Sample: Mouse brain (Paraffin), 4% PFA (G1101) 12-24h.

Antigen retrieval: TE buffer (pH 9.0)(G1203), 98℃ 20 min.

Blocking buffer: 3% BSA in PBS (GC305010), RT, 30min.

Primary antibody: 1: 1000, 4℃ overnight.

Secondary antibody: HRP Goat Anti-Mouse lgG (GB23301), 1: 200 RT 1h.

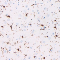
04 GB15105_20230522_IBA-1_H6120_H6120230413 R Brain  d1000_40.0x_IHC.jpg

IHC analysis of IBA-1 (GB15105).

Sample: Rat brain (Paraffin), 4% PFA (G1101) 12-24h.

Antigen retrieval: TE buffer (pH 9.0)(G1203), 98℃ 20 min.

Blocking buffer: 3% BSA in PBS (GC305010), RT, 30min.

Primary antibody: 1: 1000, 4℃ overnight.

Secondary antibody: HRP Goat Anti-Mouse lgG (GB23301), 1: 200 RT 1h.


Storage

Storage             Store at -20 ℃ for one year. Avoid repeated freeze/thaw cycles.
Storage Buffer             PBS with 0.02%sodium azide,100 μg/ml BSA and 50% glycerol.

NOTE:

1.This product is intended for research only.

2.This product is recommended to dilute with the Primary Antibody Dilution Buffer (G2025).

: AO-03-GB15105-50
: 10 Produits
Hurry! only 10 items left in stock.

Use collapsible tabs for more detailed information that will help customers make a purchasing decision.

Ex: Shipping and return policies, size guides, and other common questions.

  • Paste the label on a flat surface on the package
  • Make sure that both 1D and 2D barcodes are clearly visible
  • Ensure that the label is smooth and isn’t creased or wrinkled
  • Check for any tears, dents, holes or scratches
  • Pack your product tightly, with the right size packaging
  • Ensure both barcodes are on a flat surface of the package