Anti-Bax Rabbit pAb, Primary Antibody

AO-03-GB114122-50

Anti-Bax Rabbit pAb

Volume : 50 µL
check En Stock
Hurry! only 10 items left in stock.
299,00 €
HT
Quantité

Product Information

Description

Bax rabbit polyclonal antibody

Protein full name

Apoptosis regulator BAX

Synonyms

BAX, BCL2L4, BCL2 associated X protein, BCL2 associated X, Apoptosis regulator BAX, Bcl-2-Like Protein 4,Bcl2-L-4, Bax-protein

Immunogen

KLH conjugated Synthetic peptide corresponding to Human Bax

Isotype

IgG

Purity

Affinity purification

Subcellular location

Mitochondrion, Cytoplasm

Predicted MW.

21 kDa

Observed MW.

21 kDa

Uniprot ID

Q07812


Applications

Applications

Species

Dilution

Positive Sample

WB

Human,Mouse,Rat

1: 400-1: 800

spleen

IHC/IF

Human,Mouse,Rat

1: 400-1: 800

kidney, lung, liver, spleen, heart


Background

Accelerates programmed cell death by binding to, and antagonizing the apoptosis repressor BCL2 or its adenovirus homolog E1B 19k protein. Under stress conditions, undergoes a conformation change that causes translocation to the mitochondrion membrane, leading to the release of cytochrome c that then triggers apoptosis. Promotes activation of CASP3, and thereby apoptosis.


Images

1645522768726314284.png

WB analysis of BAX (GB114122).

Sample: Protein treated by RIPA Lysis Buffer (G2002).

Blocking buffer: 3% Nonfat dry milk (GC310001) in TBST, RT, 1h.

Primary antibody: 1: 800, 4℃ overnight.

Secondary antibody: HRP Goat Anti-Rabbit lgG (GB23303), 1: 3000, RT, 1h.

1645524389358175713.png

IHC analysis of BAX (GB114122).

Sample: Human kindey (Paraffin), 4% PFA (G1101) 12-24h.

Antigen retrieval: Citrate buffer (pH 6.0) (G1201),98℃,20 min.

Blocking buffer: 3% BSA in PBS (GC305010), RT, 30min.

Primary antibody: 1: 450, 4℃ overnight.

Secondary antibody: HRP Goat Anti-Rabbit lgG (GB23303), 1: 200 RT 1h.

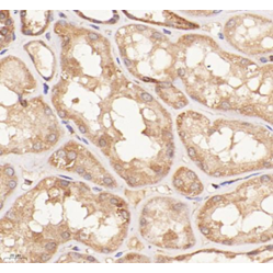
1645524389375384598.png

IHC analysis of BAX (GB114122).

Sample: Mouse kindey (Paraffin), 4% PFA (G1101) 12-24h.

Antigen retrieval: Citrate buffer (pH 6.0) (G1201),98℃,20 min.

Blocking buffer: 3% BSA in PBS (GC305010), RT, 30min.

Primary antibody: 1: 450, 4℃ overnight.

Secondary antibody: HRP Goat Anti-Rabbit lgG (GB23303), 1: 200 RT 1h.

1645524389380091669.png

IHC analysis of BAX (GB114122).

Sample: Rat kindey (Paraffin), 4% PFA (G1101) 12-24h.

Antigen retrieval: Citrate buffer (pH 6.0) (G1201),98℃,20 min.

Blocking buffer: 3% BSA in PBS (GC305010), RT, 30min.

Primary antibody: 1: 450, 4℃ overnight.

Secondary antibody: HRP Goat Anti-Rabbit lgG (GB23303), 1: 200 RT 1h.

1645522768806366802.png

IHC analysis of BAX (GB114122).

Sample: Human colon cancer (Paraffin), 4% PFA (G1101) 12-24h.

Antigen retrieval: Citrate buffer (pH 6.0) (G1201),98℃,20 min.

Blocking buffer: 3% BSA in PBS (GC305010), RT, 30min.

Primary antibody: 1: 450, 4℃ overnight.

Secondary antibody: HRP Goat Anti-Rabbit lgG (GB23303), 1: 200 RT 1h.

1645522768834900457.png

IHC analysis of BAX (GB114122).

Sample: Human esophageal cancer (Paraffin), 4% PFA (G1101) 12-24h.

Antigen retrieval: Citrate buffer (pH 6.0) (G1201),98℃,20 min.

Blocking buffer: 3% BSA in PBS (GC305010), RT, 30min.

Primary antibody: 1: 450, 4℃ overnight.

Secondary antibody: HRP Goat Anti-Rabbit lgG (GB23303), 1: 200 RT 1h.

1645522769316798055.png

IHC analysis of BAX (GB114122).

Sample: Human liver cancer (Paraffin), 4% PFA (G1101) 12-24h.

Antigen retrieval: Citrate buffer (pH 6.0) (G1201),98℃,20 min.

Blocking buffer: 3% BSA in PBS (GC305010), RT, 30min.

Primary antibody: 1: 450, 4℃ overnight.

Secondary antibody: HRP Goat Anti-Rabbit lgG (GB23303), 1: 200 RT 1h.

1645522769480210849.png

IHC analysis of BAX (GB114122).

Sample: Mouse colon (Paraffin), 4% PFA (G1101) 12-24h.

Antigen retrieval: Citrate buffer (pH 6.0) (G1201),98℃,20 min.

Blocking buffer: 3% BSA in PBS (GC305010), RT, 30min.

Primary antibody: 1: 450, 4℃ overnight.

Secondary antibody: HRP Goat Anti-Rabbit lgG (GB23303), 1: 200 RT 1h.

1645522769729794763.png

IHC analysis of BAX (GB114122).

Sample: Mouse heart (Paraffin), 4% PFA (G1101) 12-24h.

Antigen retrieval: Citrate buffer (pH 6.0) (G1201),98℃,20 min.

Blocking buffer: 3% BSA in PBS (GC305010), RT, 30min.

Primary antibody: 1: 450, 4℃ overnight.

Secondary antibody: HRP Goat Anti-Rabbit lgG (GB23303), 1: 200 RT 1h.

1645522770077484703.png

IHC analysis of BAX (GB114122).

Sample: Rat lung (Paraffin), 4% PFA (G1101) 12-24h.

Antigen retrieval: Citrate buffer (pH 6.0) (G1201),98℃,20 min.

Blocking buffer: 3% BSA in PBS (GC305010), RT, 30min.

Primary antibody: 1: 450, 4℃ overnight.

Secondary antibody: HRP Goat Anti-Rabbit lgG (GB23303), 1: 200 RT 1h.

1645522770991568549.png

IHC analysis of BAX (GB114122).

Sample: Rat spleen (Paraffin), 4% PFA (G1101) 12-24h.

Antigen retrieval: Citrate buffer (pH 6.0) (G1201),98℃,20 min.

Blocking buffer: 3% BSA in PBS (GC305010), RT, 30min.

Primary antibody: 1: 450, 4℃ overnight.

Secondary antibody: HRP Goat Anti-Rabbit lgG (GB23303), 1: 200 RT 1h.


Storage

Storage Store at -20 ℃ for one year. Avoid repeated freeze/thaw cycles.
Storage Buffer PBS with 0.02%sodium azide,100 μg/ml BSA and 50% glycerol.

NOTE:

1.This product is intended for research only.

2.This product is recommended to dilute with the Primary Antibody Dilution Buffer (G2025).

: AO-03-GB114122-50
: 10 Produits
Hurry! only 10 items left in stock.

Use collapsible tabs for more detailed information that will help customers make a purchasing decision.

Ex: Shipping and return policies, size guides, and other common questions.

  • Paste the label on a flat surface on the package
  • Make sure that both 1D and 2D barcodes are clearly visible
  • Ensure that the label is smooth and isn’t creased or wrinkled
  • Check for any tears, dents, holes or scratches
  • Pack your product tightly, with the right size packaging
  • Ensure both barcodes are on a flat surface of the package