Recombinant Anti-Bax antibody (Rabbit mAb), Primary Antibody

AO-03-GB114122-1-50

Recombinant Anti-Bax antibody (Rabbit mAb)

Volume : 50 µL
check En Stock
Hurry! only 10 items left in stock.
299,00 €
HT
Quantité

Product Information

Protein full name

Apoptosis regulator BAX

Synonyms

BAX, BCL2L4, BCL2 associated X protein, BCL2 associated X, Apoptosis regulator BAX, Bcl-2-Like Protein 4,Bcl2-L-4, Bax-protein

Immunogen

KLH conjugated Synthetic peptide corresponding to Mouse Bax

Uniprot ID

Q07812

Isotype

IgG

Purity

Affinity purification

Subcellular location

Mitochondrion, Cytoplasm


Applications

IHC/IF

Human, Mouse, Rat

1: 500-1: 1000

colon cancer, esophageal carcinoma, kidney


Background

Accelerates programmed cell death by binding to, and antagonizing the apoptosis repressor BCL2 or its adenovirus homolog E1B 19k protein. Under stress conditions, undergoes a conformation change that causes translocation to the mitochondrion membrane, leading to the release of cytochrome c that then triggers apoptosis. Promotes activation of CASP3, and thereby apoptosis.


Images

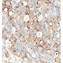
01 GB154122_Bax_M016_d100_H colon cancer_40.0x_IHC_WM.png

IHC analysis of Bax(GB154122).

Sample: Human colon cancer, 4% PFA (G1101) 12-24h.

Antigen retrieval: Citrate buffer (pH 6.0) (G1201), pressure cooker 2 min.

Primary antibody: 1: 500, 4℃ overnight.

Secondary antibody: HRP conjugated Goat Anti-Rabbit lgG (H+L) (GB23303), 1: 200, RT, 1h.

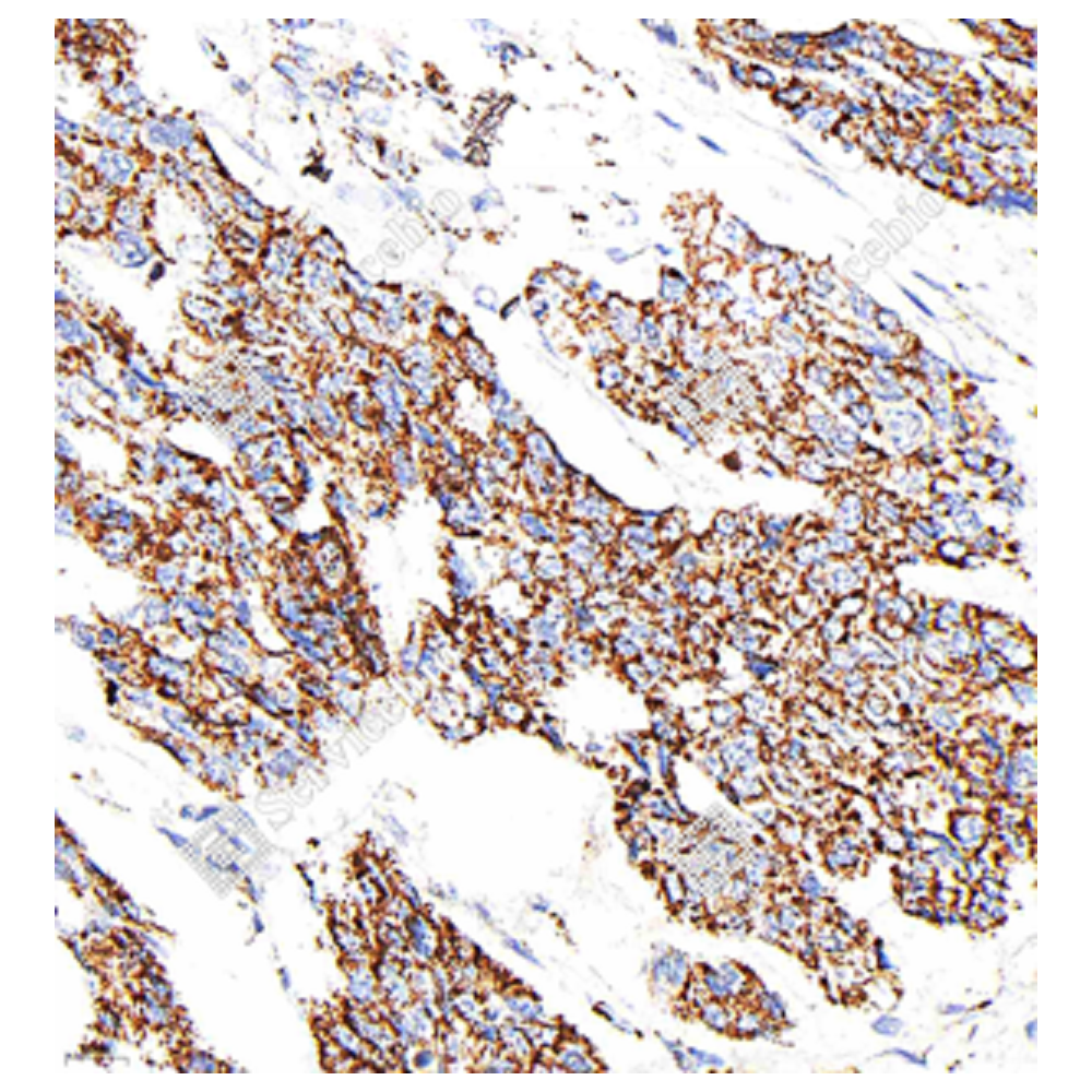
02 GB154122_Bax_M016_d100_H esophageal carcinoma_40.0x_IHC_WM.png

IHC analysis of Bax(GB154122).

Sample: Human esophageal carcinoma, 4% PFA (G1101) 12-24h.

Antigen retrieval: Citrate buffer (pH 6.0) (G1201), pressure cooker 2 min.

Primary antibody: 1: 500, 4℃ overnight.

Secondary antibody: HRP conjugated Goat Anti-Rabbit lgG (H+L) (GB23303), 1: 200, RT, 1h.

03 GB154122_Bax_M016_d100_M kidney_40.0x_IHC_WM.png

IHC analysis of Bax(GB154122).

Sample: Mouse kidney, 4% PFA (G1101) 12-24h.

Antigen retrieval: Citrate buffer (pH 6.0) (G1201), pressure cooker 2 min.

Primary antibody: 1: 500, 4℃ overnight.

Secondary antibody: HRP conjugated Goat Anti-Rabbit lgG (H+L) (GB23303), 1: 200, RT, 1h.

04 GB154122_Bax_M016_d100_M liver_40.0x_IHC_WM.png

IHC analysis of Bax(GB154122).

Sample: Mouse liver, 4% PFA (G1101) 12-24h.

Antigen retrieval: Citrate buffer (pH 6.0) (G1201), pressure cooker 2 min.

Primary antibody: 1: 500, 4℃ overnight.

Secondary antibody: HRP conjugated Goat Anti-Rabbit lgG (H+L) (GB23303), 1: 200, RT, 1h.

05 GB154122_Bax_M016_d100_R kidney_40.0x_IHC_WM.png

IHC analysis of Bax(GB154122).

Sample: Rat kidney, 4% PFA (G1101) 12-24h.

Antigen retrieval: Citrate buffer (pH 6.0) (G1201), pressure cooker 2 min.

Primary antibody: 1: 500, 4℃ overnight.

Secondary antibody: HRP conjugated Goat Anti-Rabbit lgG (H+L) (GB23303), 1: 200, RT, 1h.

06 GB154122_Bax_M016_d100_R liver_40.0x_IHC_WM.png

IHC analysis of Bax(GB154122).

Sample: Rat liver, 4% PFA (G1101) 12-24h.

Antigen retrieval: Citrate buffer (pH 6.0) (G1201), pressure cooker 2 min.

Primary antibody: 1: 500, 4℃ overnight.

Secondary antibody: HRP conjugated Goat Anti-Rabbit lgG (H+L) (GB23303), 1: 200, RT, 1h.


Storage

Storage             Store at -20℃ for one year. Avoid repeated freeze/thaw cycles.
Storage Buffer             PBS with 0.15% ProClin300, 100 μg/mL BSA and 50% glycerol.

NOTE:

1.This product is intended for research only.

2.This product is recommended to dilute with the Primary Antibody Dilution Buffer (G2025).

: AO-03-GB114122-1-50
: 10 Produits
Hurry! only 10 items left in stock.

Use collapsible tabs for more detailed information that will help customers make a purchasing decision.

Ex: Shipping and return policies, size guides, and other common questions.

  • Paste the label on a flat surface on the package
  • Make sure that both 1D and 2D barcodes are clearly visible
  • Ensure that the label is smooth and isn’t creased or wrinkled
  • Check for any tears, dents, holes or scratches
  • Pack your product tightly, with the right size packaging
  • Ensure both barcodes are on a flat surface of the package