Anti-Iba1 Mouse mAb, Primary Antibody

AO-03-GB12105-50

Anti-Iba1 Mouse mAb

Volume : 50 µL
check En Stock
Hurry! only 10 items left in stock.
299,00 €
HT
Quantité

Product Information

Protein full name

Allograft inflammatory factor 1

Synonyms

AIF-1, IBA, IRT-1, IRT1, allograft, AIF-1, AIF1, G1, IBA1, IRT 1, Protein G1, Ionized calcium-binding adapter molecule 1, MRF1, Microglia response factor, BART 1, AIF1 protein

Immunogen

Recombinant protein corresponding to Mouse Iba1

Uniprot ID

O70200

Isotype

IgG1,κ

Purity

Affinity purification

Subcellular location

Cytoskeleton, Ruffle membrane, Phagocytic cup

                                                                                                                                             


Applications

IHC(PFA fixed)/IF(PFA fixed)

Mouse, Rat, Monkey

1: 500-1: 4000

brain


Background

AIF1, also named as G1, IBA1 or daintain/AIF-1, is a 143 amino acid cytoplasmic, inflammation response scaffold protein. It is constitutively expressed in monocytes and macrophages and is known to be involved in macrophage activation. It is a marker of activated macrophage. Despite a lack of detailed knowledge on the in vivo physiological functions of AIF-1, there is growing evidence that shows its aberrant expression contributes to the pathogenesis of many autoimmune diseases, including rheumatoid arthritis.  AIF1 is an actin-binding protein that enhances membrane ruffling and RAC activation. It enhances lymphocyte migration and the actin-bundling activity of LCP1.


Images

                                                                       

1627465733700844085.png

IHC analysis of IBA-1 (GB12105).
Sample: Mouse brain (Paraffin), 4% PFA (G1101) 12-24h.
Antigen retrieval: TE buffer (pH 9.0) (G1203),98℃,20min.
Blocking buffer: 3% BSA in PBS (GC305010), RT, 30min.
Primary antibody: 1: 2000, 4℃ overnight.
Secondary antibody: HRP Goat Anti-Mouse lgG (GB23301), 1: 200 RT 1h.

Picture 2.png

IHC analysis of IBA-1 (GB12105).
Sample: Rat brain (Paraffin), 4% PFA (G1101) 12-24h.
Antigen retrieval: TE buffer (pH 9.0) (G1203),98℃,20min.
Blocking buffer: 3% BSA in PBS (GC305010), RT, 30min.
Primary antibody: 1: 2000, 4℃ overnight.
Secondary antibody: HRP Goat Anti-Mouse lgG (GB23301), 1: 200 RT 1h.

Picture 3.png

Immunohistochemistry of paraffin embedded rat brain using IBA-1 (GB12105) at dilution of 1: 2000 (300x lens)

1627465734297670196.png

Immunofluorescent analysis of paraffin embedded rat hippocampus using Neun (GB11138) (green) + Iba1 (GB12105) (red) + MBP (GB12226) (spred) + GFAP (GB11096) (yellow) and Dapi in blue at dilution of 1: 1000

图片 4.png

Immunofluorescence of paraffin embedded mouse brain using IBA-1 (GB12105) at dilution of 1: 1000 (200x lens)


           

1627465734575751926.png

Immunofluorescent analysis of paraffin embedded rat brain using Neun (GB11138) (green)+ Iba1 (GB12105) (spred) + MAP2 (GB11128-2) (red) and Dapi in blue at dilution of 1: 1000

1627465734004365660.png

IF analysis of IBA-1 (GB12105).
Sample: Rat brain (Paraffin), 4% PFA (G1101) 12-24h.
Antigen retrieval: TE buffer (pH 9.0) (G1203),98℃,20min.
Blocking buffer: 3% BSA in PBS (GC305010), RT, 30min.
Primary antibody: 1: 1000, 4℃ overnight.
Secondary antibody: Cy3 conjugated Goat Anti-mouse IgG (H+L)(GB21301),1: 200 RT 1h.

08 GB12105_IBA-1_ H glioblastoma multiforme d500_40.0x_IHC.png

IHC analysis of IBA-1 (GB12105).

Sample: Human glioblastoma multiforme, 4% PFA (G1101) 12-24h.

Antigen retrieval: TE buffer (pH 9.0) (G1203),98℃,20min.

Blocking buffer: 3% BSA in PBS (GC305010), RT, 30min.

Primary antibody: 1: 500, 4℃ overnight.

Secondary antibody: S-vision poly-HRP conjugated Goat Anti-Rabbit lgG(H+L), Ready to use(G1302), RT, 20min.

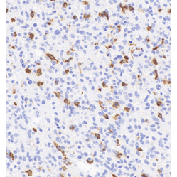
09 GB12105_IBA-1_ H oligodendrocytoma d500_40.0x_IHC.png

IHC analysis of IBA-1 (GB12105).

Sample: Human oligodendrocytoma , 4% PFA (G1101) 12-24h.

Antigen retrieval: TE buffer (pH 9.0) (G1203),98℃,20min.

Blocking buffer: 3% BSA in PBS (GC305010), RT, 30min.

Primary antibody: 1: 500, 4℃ overnight.

Secondary antibody: S-vision poly-HRP conjugated Goat Anti-Rabbit lgG(H+L), Ready to use(G1302), RT, 20min.

15 GB12105_Iba1_d500_Mk brain_40.0x_IHC.jpg

IHC analysis of IBA-1 (GB12105).

Sample: Monkey brain, 4% PFA (G1101) 12-24h.

Antigen retrieval: TE buffer (pH 9.0) (G1203),98℃,20min.

Blocking buffer: 3% BSA in PBS (GC305010), RT, 30min.

Primary antibody: 1: 500, 4℃ overnight.

Secondary antibody: S-vision poly-HRP conjugated Goat Anti-Rabbit lgG(H+L), Ready to use(G1302), RT, 20min.


Storage

                                   

Storage             Store at -20 ℃ for one year. Avoid repeated freeze/ thaw cycles.
Storage Buffer             PBS with 0.02% sodium azide, 100 μg/ml BSA and 50% glycerol.


NOTE:

1.This product is intended for research only.

2.This product is recommended to dilute with the Primary Antibody Dilution Buffer (G2025).

: AO-03-GB12105-50
: 10 Produits
Hurry! only 10 items left in stock.

Use collapsible tabs for more detailed information that will help customers make a purchasing decision.

Ex: Shipping and return policies, size guides, and other common questions.

  • Paste the label on a flat surface on the package
  • Make sure that both 1D and 2D barcodes are clearly visible
  • Ensure that the label is smooth and isn’t creased or wrinkled
  • Check for any tears, dents, holes or scratches
  • Pack your product tightly, with the right size packaging
  • Ensure both barcodes are on a flat surface of the package