Recombinant Anti-GAPDH antibody (Mouse mAb), Primary Antibody

AO-03-GB15002-50

Recombinant Anti-GAPDH antibody (Mouse mAb)

Volume : 50 µL
check En Stock
Hurry! only 10 items left in stock.
299,00 €
HT
Quantité

II-D9 II-G4

Product Information

Protein full name

Glyceraldehyde-3-phosphate dehydrogenase

Synonyms

GAPDH, GAPD, G3PD, HEL-S-162eP, glyceraldehyde-3-phosphate dehydrogenase

Immunogen

KLH conjugated synthetic peptide corresponding to Mouse GAPDH

Uniprot ID

P16858

Isotype

IgG1

Purity

Affinity purification

Subcellular location

Cytoplasm, Nucleus, Membrane

Predicted MW. / Observed MW.

36 kDa / 36 kDa


Applications

WB

Human, Mouse, Rat

1: 3000-1: 5000

heart, lung, liver, kidney, brain

IHC/IF

Human, Mouse, Rat

1: 1000-1: 3000

breast cancer, esophageal cancer, kidney

ICC/IF

Human, Mouse, Rat

1: 1000-1: 2000

HeLa


Background

Glyceraldehyde 3-phosphate dehydrogenase (abbreviated as GAPDH or less commonly as G3PDH) is an enzyme of ~37kDa that catalyzes the sixth step of glycolysis and thus serves to break downglucose for energy and carbon molecules. In addition to this long established metabolic function, GAPDH has recently been implicated in several non-metabolic processes, including transcription activation, initiation ofapoptosis,ER to Golgi vesicle shuttling, and fast axonal, or axoplasmic transport.


Images

GB15002_GAPDH_d5000_WB(new).jpg

WB analysis of GAPDH (GB15002).

Sample: Protein treated by RIPA Lysis Buffer (G2002).

Blocking buffer: 3% Nonfat dry milk (GC310001)inTBST,RT,1h.

Primaryantibody:1: 5000,4℃ overnight.

Secondaryantibody: HRP Goat Anti-Mouse lgG (GB23301), 1: 5000, RT, 1h.

图片 2.png

IHC analysis of GAPDH (GB15002).

Sample: Human breast carcinoma (Paraffin), 4% PFA (G1101) 12-24h.

Antigen retrieval: Citrate buffer (pH 6.0) (G1201), pressure cooker 2min.

Blocking buffer: 3% BSA in PBS (GC305010), RT, 30min.

Primary antibody: 1: 1000, 4℃ overnight.

Secondary antibody: HRP Goat Anti-Mouse lgG (GB23301), 1: 200 RT 1h.

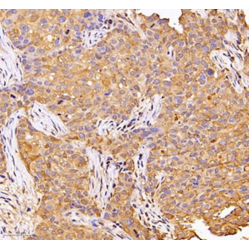
图片 3.png

IHC analysis of GAPDH (GB15002).

Sample: Human esophageal cancer (Paraffin), 4% PFA (G1101) 12-24h.

Antigen retrieval: Citrate buffer (pH 6.0) (G1201), pressure cooker 2min.

Blocking buffer: 3% BSA in PBS (GC305010), RT, 30min.

Primary antibody: 1: 1000, 4℃ overnight.

Secondary antibody: HRP Goat Anti-Mouse lgG (GB23301), 1: 200 RT 1h.

图片 5.png

IHC analysis of GAPDH (GB15002).

Sample: Mouse kindey (Paraffin), 4% PFA (G1101) 12-24h.

Antigen retrieval: Citrate buffer (pH 6.0) (G1201), pressure cooker 2min.

Blocking buffer: 3% BSA in PBS (GC305010), RT, 30min.

Primary antibody: 1: 1000, 4℃ overnight.

Secondary antibody: HRP Goat Anti-Mouse lgG (GB23301), 1: 200 RT 1h.

图片 9.png

IHC analysis of GAPDH (GB15002).

Sample: Rat kindey (Paraffin), 4% PFA (G1101) 12-24h.

Antigen retrieval: Citrate buffer (pH 6.0) (G1201), pressure cooker 2min.

Blocking buffer: 3% BSA in PBS (GC305010), RT, 30min.

Primary antibody: 1: 1000, 4℃ overnight.

Secondary antibody: HRP Goat Anti-Mouse lgG (GB23301), 1: 200 RT 1h.

图片 10.png

IHC analysis of GAPDH (GB15002).

Sample: Mouse testis (Paraffin), 4% PFA (G1101) 12-24h.

Antigen retrieval: Citrate buffer (pH 6.0) (G1201), pressure cooker 2min.

Blocking buffer: 3% BSA in PBS (GC305010), RT, 30min.

Primary antibody: 1: 1000, 4℃ overnight.

Secondary antibody: HRP Goat Anti-Mouse lgG (GB23301), 1: 200 RT 1h.

图片 11.png

IHC analysis of GAPDH (GB15002).

Sample: Rat spinal cord (Paraffin), 4% PFA (G1101) 12-24h.

Antigen retrieval: Citrate buffer (pH 6.0) (G1201), pressure cooker 2min.

Blocking buffer: 3% BSA in PBS (GC305010), RT, 30min.

Primary antibody: 1: 1000, 4℃ overnight.

Secondary antibody: HRP Goat Anti-Mouse lgG (GB23301), 1: 200 RT 1h.

08 GB15002 GAPDH_red_M15002230208_d1000_HeLa_20.0x_ICC.jpg

ICC analysis of GAPDH(GB15002) red.

Sample: HeLa, 4% PFA (G1101) 20min.

Blocking buffer: 3% BSA in PBS (GC305010), RT, 30min.

Primary antibody: 1: 1000, 4℃ overnight.

Secondary antibody:Cy3 conjugated Goat Anti-Mouse IgG (H+L) (GB21301), 1: 300, RT, 1h.


Storage

Storage Store at -20 ℃ for one year. Avoid repeated freeze/thaw cycles.
Storage Buffer PBS with 0.02%sodium azide,100 μg/ml BSA and 50% glycerol.

NOTE:

1.This product is intended for research only.

2.This product is recommended to dilute with the Primary Antibody Dilution Buffer (G2025).

: AO-03-GB15002-50
: 10 Produits
Hurry! only 10 items left in stock.

Use collapsible tabs for more detailed information that will help customers make a purchasing decision.

Ex: Shipping and return policies, size guides, and other common questions.

  • Paste the label on a flat surface on the package
  • Make sure that both 1D and 2D barcodes are clearly visible
  • Ensure that the label is smooth and isn’t creased or wrinkled
  • Check for any tears, dents, holes or scratches
  • Pack your product tightly, with the right size packaging
  • Ensure both barcodes are on a flat surface of the package