Anti-Dnmt1 Rabbit pAb, Primary Antibody

AO-03-GB11328-50

Anti-Dnmt1 Rabbit pAb

Anti-Dnmt1 Rabbit pAb.pdf

Volume : 50 µL
check En Stock
Hurry! only 10 items left in stock.
399,00 €
HT
Quantité

I-D9 I-E6

Product Information

Protein full name

DNA (cytosine-5)-methyltransferase 1

Synonyms

DNA (cytosine-5-)-methyltransferase 1,DNA methyltransferase 1, DNMT1, ADCADN, AIM, CXXC9, DNMT, HSN1E, MCMT, m.HsaI

Uniprot ID

P13864

Immunogen

KLH conjugated Synthetic peptide corresponding to Mouse Dnmt1

Isotype

IgG

Purity

Affinity purification

Subcellular location

Nucleus


Applications

Applications Species Dilution Positive Tissue
IHC/IF Human 1: 500-1: 2000 colon, kidney, lung


Background

Methylates CpG residues. Preferentially methylates hemimethylated DNA. Associates with DNA replication sites in S phase maintaining the methylation pattern in the newly synthesized strand, that is essential for epigenetic inheritance. Associates with chromatin during G2 and M phases to maintain DNA methylation independently of replication. It is responsible for maintaining methylation patterns established in development. DNA methylation is coordinated with methylation of histones. Mediates transcriptional repression by direct binding to HDAC2.


Images

01OecJ3cn3SEGUe.jpg

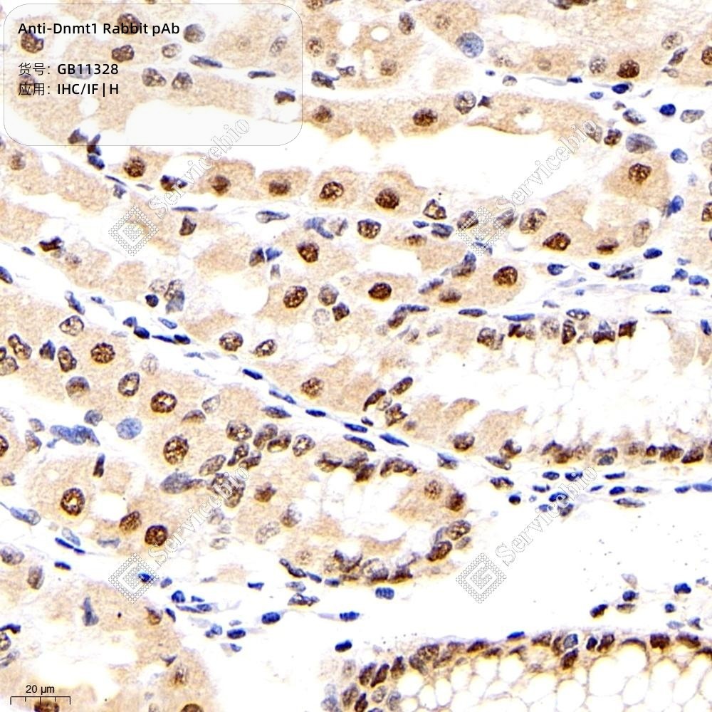
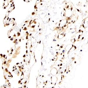
IHC analysis of Dnmt1(GB11328).
Sample: Human colon, 4% PFA (G1101) 12-24h.
Antigen retrieval: Citrate buffer (pH 6.0) (G1201), 98℃, 20 min.
Primary antibody: 1: 1000, 4℃ overnight.
Secondary antibody: HRP conjugated Goat Anti-Rabbit lgG (H+L) (GB23303), 1: 200, RT, 1h.

02P6IONDtymIyQQ.jpg

IHC analysis of Dnmt1(GB11328).
Sample: Human lung, 4% PFA (G1101) 12-24h.
Antigen retrieval: Citrate buffer (pH 6.0) (G1201), 98℃, 20 min.
Primary antibody: 1: 1000, 4℃ overnight.
Secondary antibody: HRP conjugated Goat Anti-Rabbit lgG (H+L) (GB23303), 1: 200, RT, 1h.

03H8vjgiiQHfR6W.jpg

IF analysis of Dnmt1(GB11328)red.
Sample: Human stomach, 4% PFA (G1101) 12-24h.
Antigen retrieval: Tris-EDTA buffer (pH 9.0) (G1203), 98℃, 20min.
Blocking buffer: 3% BSA (GC305010) in PBS, RT, 30min.
Primary antibody: 1: 500, 4℃ overnight.
Secondary antibody: Cy3 conjugated Goat Anti-Rabbit IgG (H+L) (GB21303), 1: 300, RT, 1h.

043EVVTJ5Vh69UH.jpg

IF analysis of Dnmt1(GB11328)red.
Sample: Human thyroid gland, 4% PFA (G1101) 12-24h.
Antigen retrieval: Tris-EDTA buffer (pH 9.0) (G1203), 98℃, 20min.
Blocking buffer: 3% BSA (GC305010) in PBS, RT, 30min.
Primary antibody: 1: 500, 4℃ overnight.
Secondary antibody: Cy3 conjugated Goat Anti-Rabbit IgG (H+L) (GB21303), 1: 300, RT, 1h.


Storage

Storage Store at -20℃ for one year. Avoid repeated freeze/thaw cycles.
Storage Buffer PBS with 0.15% ProClin300, 100 μg/mL BSA and 50% glycerol.

NOTE:

1.This product is intended for research only.

2.This product is recommended to dilute with the Primary Antibody Dilution Buffer (G2025).

: AO-03-GB11328-50
: 10 Produits
Hurry! only 10 items left in stock.

Use collapsible tabs for more detailed information that will help customers make a purchasing decision.

Ex: Shipping and return policies, size guides, and other common questions.

  • Paste the label on a flat surface on the package
  • Make sure that both 1D and 2D barcodes are clearly visible
  • Ensure that the label is smooth and isn’t creased or wrinkled
  • Check for any tears, dents, holes or scratches
  • Pack your product tightly, with the right size packaging
  • Ensure both barcodes are on a flat surface of the package

Customers who bought this product: